
Hip Dislocation Surgical Treatment
- Sureisen Mariapan

- Nov 29, 2021
- 1 min read
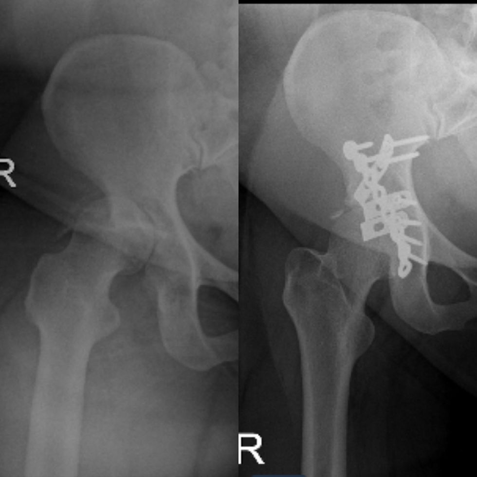
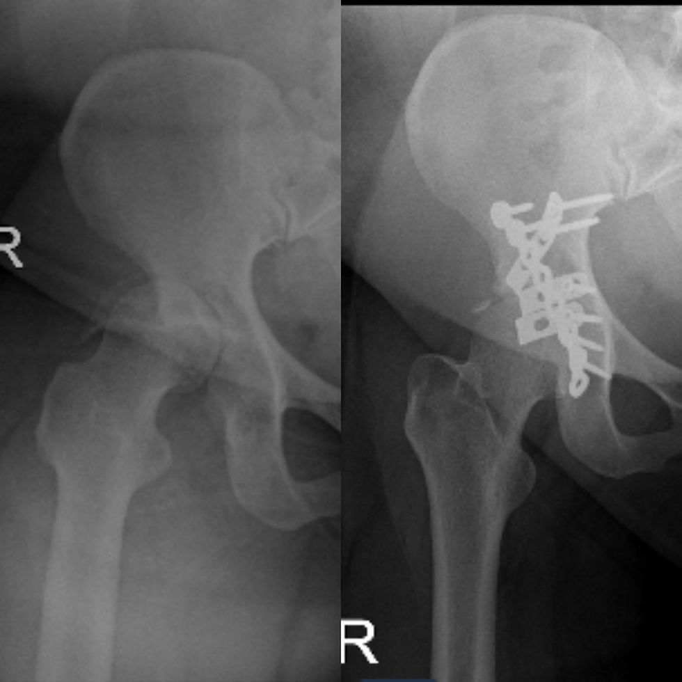
30 year old lady sustained motor vehicle accident. Right hip was fractured and dislocated. She underwent emergency surgery to relocate the dislocation and plate the fractured acetabulum. Repeated X-ray shows the fracture is healing well.
Wanita berusia 30 tahun mengalami kemalangan jalanraya. Tulang pinggul beliau terkehel dan patah. Beliau menjalani pembedahan untuk memperbaiki sendi pinggul dengan plet dan screw. X-ray menunjukkan kepatahan pada sendi pinggul sedang pulih kembali.






Comments